Fale Comigo
Whatsapp

drc ira

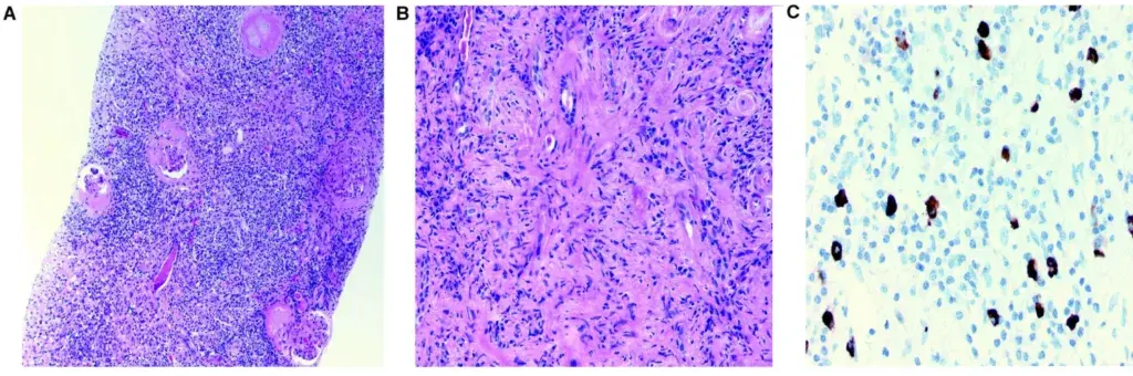
Linfadenopatia, disfunção renal e consumo de complemento

Valkercyo Feitosa

2023-05-17

Recomendação de posts Nefroupdates