Fale Comigo
Whatsapp

Nefrodicas

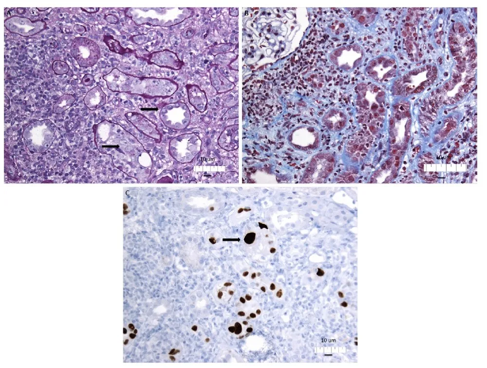
Nefropatia pelo Vírus BK em Paciente Submetido a Transplante Cardíaco

Valkercyo Feitosa

2024-01-11

Recomendação de posts Nefroupdates